• 怎样看胸片 digest heatlevel agree  ...23

  • 阿特巴拉的医生 2013-2-16
  • 在读胸片上(主要是正位片)有点体会想与大家分享。要想读好胸片首先要知道正常胸片是怎样的,总的来说可以用以下的文字描述,并且看每一张片子时也可以按照这个顺序来看,以便养成好的习惯。具体步骤请看2楼。 ...  阅读全文>

  • 恶性溃疡,火山口样改变X线造影表现 attach_img digest agree  ...23

  • eve592370698 2014-9-27
  • 我相信很多朋友一提起恶性胃溃疡一定会想到火山口样改变吧,至于这个【火山口】是什么样子呢?恐怕大家大部分只能靠网上的尸检图片以及部分人的胃镜截图吧?其实用X线钡餐造影也能看到溃疡周围火山口的改变,请看截 ...  阅读全文>

  • 自己手头的一些CT、MR腰椎间盘突的资料 attach_img heatlevel agree  ...2

  • lizj 2011-4-27
  • 椎间盘突出症是一种多发病,要确诊自己是否患有腰椎间盘突出症,最好的方法是去医院拍一张腰部CT片或者MRI(磁共振片子)。不过一般医生都没有充裕的时间把片子报告详细解释给你听,患者常常只能拿着“语言简练”的C ...  阅读全文>

  • 【补图】肺炎脓胸恶化X光预览,CT压缩包 - [阅读权限 1] attach_img digest agree  ...2

  • eve592370698 2014-4-27
  • 授权声明:本病例截图仅供jcys120(本站)和66RPG两个论坛的资深会员浏览,请勿转载、传播,谢谢合作!特别是CT图片,本版主仅仅是个传话筒而已,随时可能将其销毁! 病史请看:在茶社版块 报告是: CT高清图片及 ...  阅读全文>

  • 胸片容易忽略的15个异常征象

  • 777777zq 2018-8-14
  • 读片时仍需仔细,以避免遗漏一些细微的异常结果。胸片是临床医生最常使用的一种影像学检查方法。胸片在肺部疾病的发现与筛查中有着非常重要的作用,虽然看似简单,但放射科医生绝不能大意。1结节病结节病是一种在年 ...  阅读全文>

  • 看看这个股骨头 attach_img agree  ...2

  • 真人无奈 2013-7-2
  • 女。26岁,有外伤史,5年前从楼梯上摔倒。现走路无跛行,下肢内收,外旋时轻度受限,无疼痛。大家看看,现在的病情状况,怎样治疗为妥。  阅读全文>

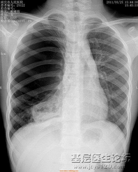
  • 心脏病患者胸部正位 attach_img digest

  • eve592370698 2012-12-20
  • 患者女,40岁,超声检查见心脏四腔增大,肺动脉瓣重度关闭不全,二尖瓣关闭不全。 拍X光片检查肺部情况。 检查所见:   两侧胸廓对称,气管上纵隔剧中。双肺门增大,肺动脉增粗。心影增大,心腰膨出,程普大 ...  阅读全文>

  • 颅中窝蛛网膜囊肿CT片,求标注! attach_img digest

  • fanzed 2012-12-17
  • 今日一患者因为阵发性头晕就诊,颅脑CT报告结论:左侧颅中窝蛛网膜囊肿,可惜看了半天片子没找到位置,还望影像版版主给标注一下,谢谢了,如果照片不清晰或者没有找到病灶,我再拍照:  阅读全文>

  • 颈椎病压迫臂丛神经还是肩袖撕裂 attach_img agree

  • 一个懒好人 2014-3-2
  • 男,45岁,肩甲内侧疼痛一个月,以颈椎病在市医院针灸理疗,现在肩胛处不疼,表现为外展疼痛,不能上举,被动举起不疼,无外力扶持自己就垂下来了,扶墙手指上爬可到正常上举部位,用力上下游动患臂也正常,省医院认 ...  阅读全文>

  • 一列不容易看出的错位片 新人帖 agree

  • xwpk 2014-3-24
  • 患者女,75岁,早上饲养家禽时突然晕厥倒地,右肩部,手臂首先接触地面。数秒后自行清醒扶墙站立后出现肩部疼痛,肩部活动受限,手臂无法抬高,外伸。既往无高血压,脑血管病史。发病后前往我县人民医院检查,照片后 ...  阅读全文>

  • 脑梗塞治疗 attach_img agree  ...23

  • 兴兴 2013-10-1
  • 脑梗塞治疗 诊断为:右侧基底节区腔际性脑梗塞,1。0X0.6cm. 血压:180/90.呼吸每分钟23,体温37度,脉搏每分钟70,心率每分钟73,神志清,精神疲惫,手脚麻木。 由于无钱住院,通过人情由我治疗,我和家人讲清楚 ...  阅读全文>

  • 可以下 胚胎停育 诊断否? agree

  • 海螺 2013-12-28
  • 8月24日末次月经,9月22日两次阴道两点咖啡色分泌物,9月23日早孕试纸弱阳性, 10月11日B超示:子宫 62*47*65mm,内膜厚18mm,内见17*7mm囊性暗区,未见胚芽回声,卵黄囊显示。 1017日 6周—2天 胎心动差 10月26 ...  阅读全文>

  • 右肺结节,CT描述为磨玻璃样改变 attach_img

  • sxmz 2013-3-10
  • 右肺结节,CT描述为磨玻璃样改变。 患者,35岁,男性,因为左侧胸部疼痛就诊,然后检查,胸片未见异常,继而胸部CT,发现右肺有磨玻璃样改变,大家请注意,患者为左侧胸部疼痛,而且是活动受限,因患者非本人 ...  阅读全文>