阅读全文>
大家好,我是一名学社区医学专业的医生,现在医院叫我干放射(有上岗证),想请教大家我能不能考放射资格证?放射还能继续干嘛?在此谢谢 阅读全文>
你好,我想咨询下,X片上会有阴影两个字。阴影代表代表颜色灰还是白啊! 阅读全文>
患者没有明显症状就是说内踝疼痛2月余!没有外伤病史今年13岁 阅读全文>
椎间盘突出症是一种多发病,要确诊自己是否患有腰椎间盘突出症,最好的方法是去医院拍一张腰部CT片或者MRI(磁共振片子)。 不过一般医生都没有充裕的时间把片子报告详细解释给你听,患者常常只能拿着“语言简练” ... 阅读全文>
胸部CT片详解 阅读全文>
详细病史请看2楼,本楼隐藏答案。 [hide=d6][/hide] 阅读全文>
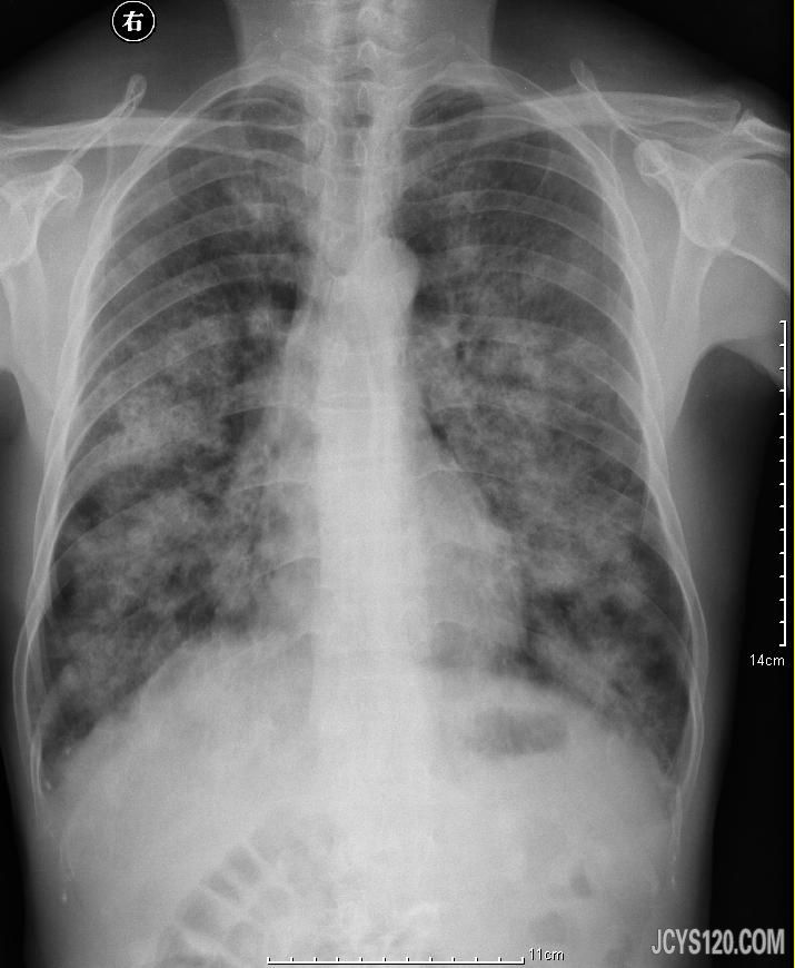
1.如何数肋骨? 数肋骨是看片的基础,我以下要说的很多东西都是以肋骨作为标志的。正常胸片肋骨从后上向前下数,第一肋与锁骨围成一个类圆形的透亮区,这一部分也是肺尖所在的区域,两侧对比有利于发现肺尖的病 ... 阅读全文>
一妇女20岁,上环已一年,其夫是双胞兄弟之一.今因月经推迟就医.查B超示带环双孕囊. 阅读全文>
男25岁,咳嗽1月余。喜欢挑战的同仁看看是什么病,谢谢大家。 阅读全文>
患者女,68岁,根据家属交代搬石头时肩部咔嚓一声。余病史不详。 阅读全文>
一朋友,自诉头胀,摇头感觉脑子里面是活动的,县医院做一脑核磁共振,图像如下,报告结果:疑似第三脑室囊肿,建议到上级医院进一步确诊,我把图片发到论坛,让论坛内高手会诊一下,计划最近去大医院确诊一下,随后 ... 阅读全文>
患者女,52岁,膝关节疼痛。 阅读全文>
某女,32岁,剑突下不适,饮食不佳,:肝切面形态正常,肝内光点增粗,肝静脉显示清楚,门脉主干内径1.0CM,右叶可见1.0*0.9CM的暗光团,边缘不清,胆囊6.5*2.8CM,壁不厚,表面付侧可见,光斑光团,其中有一0.9*0.7CM无声影,脾厚3. ... 阅读全文>
这是一张骨折术后拍的片子,请懂看X片的同行给看一下这个接得好不好呢?股骨右边有一游离块是骨头吗?先谢了! 阅读全文>
男67岁,咳嗽咳黄痰,否认近期咯血、高烧,否认慢支、结核等病史,查体不热,煤矿工人数十年未曾体检。 阅读全文>
患者80岁,以肢体活动欠灵活诊断为脑梗塞就诊,询问病史时患者自述右侧胸痛,查体平右侧乳头处压痛明显,慢支、肺气肿病史40余年,给予胸片检查如下: 阅读全文>
病人年龄:3 病人性别:男 全部症状:右胫腓骨远端骨折 治疗情况:小孩骨折后半个月内在三家不同医院先后做了7次拍片检查,提示复位尚可,有少量骨痂 。大夫要求一个月后还要再次检查, 想要得到的帮助: ... 阅读全文>
胆结石b超报告单,以前是胆囊内出现形态稳定的强回声光团,后缘有声影,强光团随体位向重力方向移动。 当时诊断胆结石,用药物保守治疗4个月后胆结石b超报告单说现在无回声或者回声极少,说可能是胆囊息肉,医生建议 ... 阅读全文>
我的是300的东方红 老款的机子,谁能告诉我 拍腰椎所需要的 条件,我拍的一直不是很好,有知道的告诉我 留言 谢谢了, 阅读全文>
今天本乡镇一老村医,65岁,因为感冒后遗留咳嗽一个月,来我们这里拍一胸片,如下: 肺结核病史40余年 听诊左肺呼吸音降低 胸片显示左下肺条索状高密度影,胸片求阅: 阅读全文>
女性,87岁。咳嗽、咳痰3天。偶伴疲乏,无发热。双肺呼吸音粗,右中下肺段可闻及中细湿啰音。 阅读全文>
患者女52岁,主诉膝关节周围疼痛,今天在县医院拍的片子。 阅读全文>
这是一个MR报告单上写着:垂体微腺瘤 ,但是面对非常清晰的片子,愣是找不到异常病灶的位置,劳驾给标注一下: 阅读全文>