• 关于影像学的资料?

  • lljjyy 2012-9-28
  • 各位同道:有谁知道在哪儿能有学习影像学的资料啊?本人对腰间盘突出的CT片和胸片不会看,但是在临床中经常碰到,不会看,好尴尬哦,跪求各位同仁指点迷津!  阅读全文>

  • 肺结核还是肿瘤? attach_img agree

  • sxmz 2012-6-11
  • 2、女性,65岁,哮喘、肺气肿病史十余年,因发热、咳嗽、咳痰一周入院,昨天在医院检查WBC22.3×10 9 白蛋白低于正常值,总胆红素稍高(具体数值稍后补上) 肝脏超声检查:肝硬化并内见多个低回声结节,少量腹水。 ...  阅读全文>

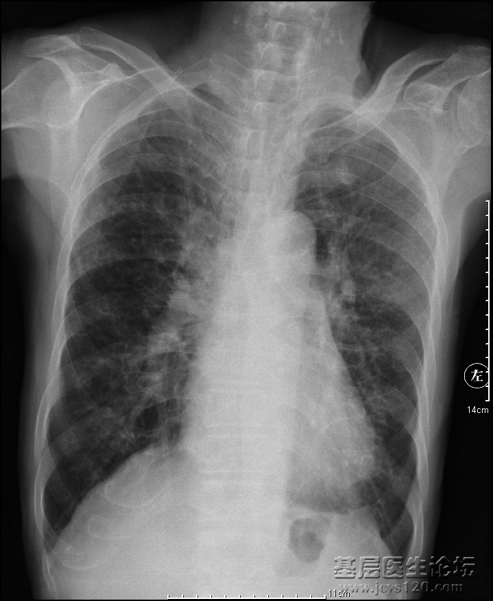
  • 心衰、陈旧性胸膜炎胸部X光片 attach_img agree

  • eve592370698 2012-6-6
  • 患者病史:既往胸膜炎、风心病病史,现因心脏病发作入院。 X线正侧位摄影可见:   两侧胸廓对称,气管上纵隔居中,双肺门被心影遮盖,两肺纹理走行尚可。主动脉弓增粗,心影向两侧扩大,呈普大型。双膈面尚光 ...  阅读全文>

  • 鞍区颅咽管瘤2-MRI病例影像诊断 attach_img

  • 暮雪千山 2012-6-23
  • 【影像表现】:MRI平扫于鞍上区见巨大囊实性占位,形态不规则,T1WI(A)、T2WI(C)信号不均匀,增强后(B、D)实性部分强化明显,囊性部分无强化。双侧侧脑室明显扩大,垂体正常(↑)。 【影像诊断】:鞍区颅 ...  阅读全文>

  • 咳嗽、咳痰一周,胸片如下 attach_img

  • 谷维素 2012-9-9
  • 患者,男性,65岁,受凉后出现咳嗽、咳痰,白色粘液痰,在家按照“感冒”口服药物效果不好,来诊,发病来,无发热,无胸痛,无呼吸困难,吸烟史二十余年,平素身体健康,胸片显示如下: 开始以为放射科工作人员操 ...  阅读全文>

  • 低热、咳嗽一个月,肺部CT attach_img

  • sxmz 2012-5-13
  • 患者,女,67岁,因低热、咳嗽一个月来诊,患者一个月前无明显诱因出现发热、咳嗽,体温在37.5-37.8°c 无寒战、盗汗、乏力。偶有咳白色粘液痰,无胸痛、胸闷,无活动后气喘,在当地门诊输液“青霉素”治疗8天效 ...  阅读全文>

  • 这样的食道我第一次看到 attach_img agree

  • wodejune 2012-8-23
  • 一个35岁吞咽困难,反复呕吐的男性, 我帮他今天做了无痛胃镜, 食管进镜30cm好似有肿物,进境受阻,还流血,我不敢进了。要他去上级医院。 我是个胃镜新手 向给位胃镜老师、前辈求救。 胃镜操作我i ...  阅读全文>

  • 老人支气管肺炎胸部正侧位 attach_img agree

  • eve592370698 2012-5-18
  • 患者男,85岁,咳嗽咳痰,吸烟,余病史未知。 胸部正位 侧位 诊断报告:   两侧胸廓对称,气管上纵隔居中,右侧肺动脉干增粗,双肺纹理增粗紊乱以左肺较为明显,可见大量点片状低密度影呈蜂窝状。主动脉弓迂 ...  阅读全文>

  • 腹部X线分析

  • 暮雪千山 2012-6-23
  • 请注意:腹部正位X光片站立位一定要包括整个膈面,否则无法诊断消化道穿孔!仰卧位一般为下消化道或者子宫输卵管造影所用,要包括盆腔。  阅读全文>

  • 阵发性胸痛30分钟,入院后胸片 attach_img agree

  • sxmz 2012-6-11
  • 1、患者,男性,60岁,阵发性胸痛30分钟入院,既往史无特殊,医院初步诊断为“心绞痛”住院治疗后缓解出院,今日来门诊带来原来的就诊资料,胸片一张,感觉有点奇怪,第一眼我还差点左右颠倒。  阅读全文>

  • 腹膜与肠系膜病变的CT表现

  • 暮雪千山 2012-6-23
  • 腹膜是覆盖于腹壁和腹腔脏器表面的一层薄膜,由内皮和少量结缔组织构成。腹腔脏器表面的较薄腹膜称脏腹膜,腹壁表面的较厚腹膜称壁腹膜。脏壁腹膜或脏腹膜之间,相互移行返折,形成了网膜、系膜和韧带等结构,内有血 ...  阅读全文>

  • 十二指肠低张造影

  • 暮雪千山 2012-6-23
  • 低张十二指肠造影(hypotonic duodenography) 应用胆碱能药物(常用654-2 20mg、肌肉注射),降低胃肠道的张力和蠕动,进行钡气双重造影。适用于检查胰腺、十二指肠病变,其检查价值可纠正常规造影时充盈不佳 ...  阅读全文>

  • 颅底肿瘤及肿瘤样病变的影像诊断

  • 暮雪千山 2012-6-23
  • 1. 骨纤维异常增殖症(fibrous dysplasia of bone) 又称为骨纤维结构不良,纤维软骨结构不良或骨泛化性纤维囊性病,青少年发病,病因及发病机制不明。颅底以筛骨发病率最高,次为蝶骨、额骨、颞骨及枕骨。多 ...  阅读全文>

  • 多发性脑梗塞CT片 attach_img

  • sxmz 2012-6-3
  • 今日收治一89岁高龄患者,10天前因不自主全身发抖在县医院住院治疗后缓解,但出现心功能不全出院,来本院继续治疗,确切的说是因为治疗费用和尽人事治疗,交代病情后给予对症支持治疗 看下CT片,拍照效果总是不好 ...  阅读全文>

  • 肝脓肿(abscess of liver)影像学诊断 attach_img

  • 暮雪千山 2012-6-21
  • 肝脓肿(abscess of liver)是肝组织的局限性化脓性炎症。根据致病微生物的不同分为细菌性肝脓肿、阿米巴性肝脓肿、真菌性肝脓肿、结核性肝脓肿等,以细菌性肝脓肿多见。患者可出现肝和全身的炎症反应。CT和MRI是诊 ...  阅读全文>

  • 胸片求阅-老年女性咳嗽、咳痰10天 attach_img

  • sxmz 2012-5-19
  • 患者,女,74岁,十余天前无明显诱因出现咳嗽、咳痰,白色粘液痰,夜间为重,无活动后气喘,无胸闷、胸痛。 既往冠心病史二十余年,一年前脑梗塞,治疗后未留后遗症。 查体:双肺呼吸音低,偶可闻及哮鸣音,余 ...  阅读全文>

  • 胸片求阅-活动后气喘10+天 attach_img

  • sxmz 2012-6-2
  • 患者,男性,82岁,无明显诱因出现活动后气喘。来诊,听诊双肺呼吸音低,未闻及干湿罗音。胸片如下,请看红色线内部分是否正常?只知道应该不是问题,但是不知道怎么解释!  阅读全文>

  • 反复咳嗽2个月

  • 品味淡泊 2012-5-23
  • 我有一病人反复咳嗽2个月,,每次配药吃几天就会好转,没隔几天又会咳嗽,有糖尿病史,今天去拍片报告单上提示:右下肺野外带小结节状高密度影。 请教版主,应该要考虑什么病?  阅读全文>