请大家看看 阅读全文>
大家好,在用经颅多普勒的朋友情联系我,1264099098互相学习一下,等待你的加入。 阅读全文>
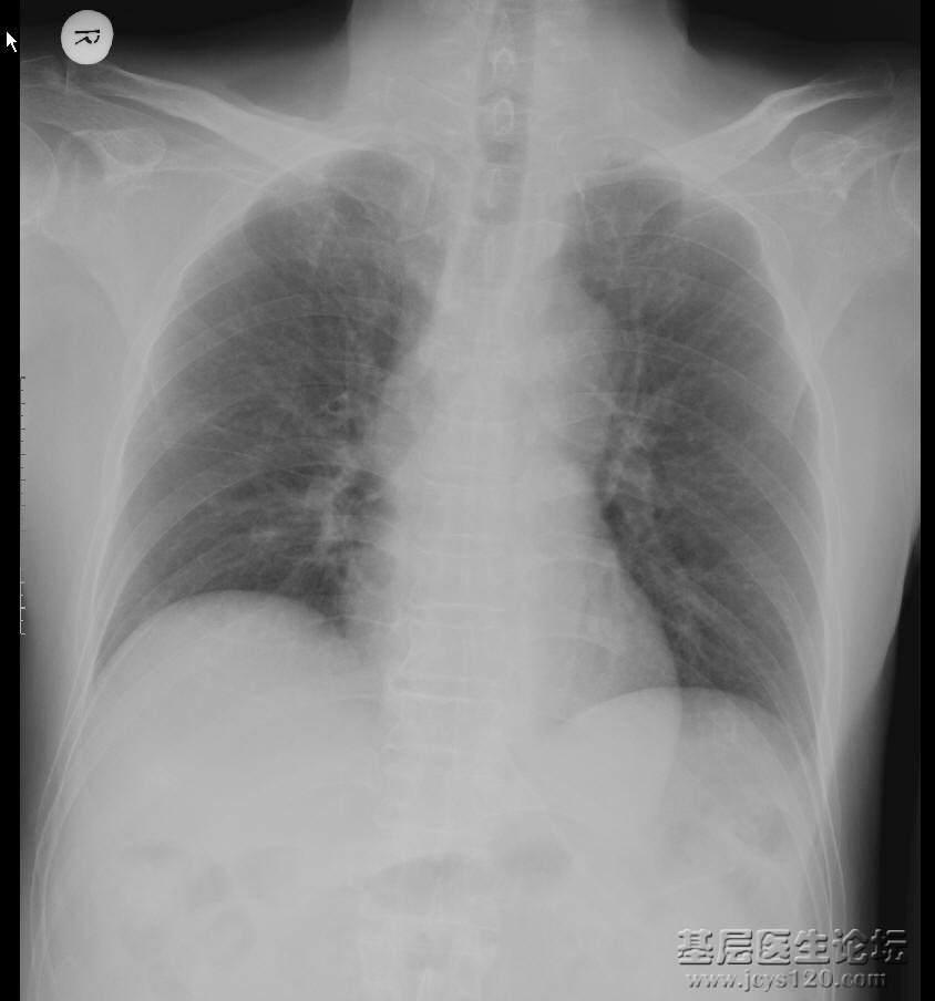
患者胸痛5天体温正常 咳嗽时疼痛加重既往体健 阅读全文>
阅读全文>
如果没有腰椎的定位图,对“外行人”来说几乎无法分清腰部的5个椎间盘的不同。定位图就象路线图一样告诉我们腰椎每个扫描层的具体扫描部位,所以即使对于很有经验的医师定位图也是必不可少的。 这张定位 ... 阅读全文>
女,51岁,于50天前左膝部隐疼来诊,当时漏诊,病人回家未正规治疗。1月24日,病人疼痛减轻,股骨远端可见大面积骨质破坏区,前缘可见骨膜反应,软组织无明显肿胀。[/attachimg]请高手解答,多看片子有好处的。 阅读全文>
我是一名个体医生,以骨科为主,有x光机,只知道x光机有辐射,具体不知道能辐射多远,同行们有谁知道请告诉我,在此谢谢了 阅读全文>
女,22岁,时有恶心,不吐,有吞咽困难感。 阅读全文>
谢谢,非常实用。感谢jcys120.收藏了。 阅读全文>
患者男性,35岁,在一次无意中的撞伤小指,后小指屈曲不能伸直,有半年。 请大家看看这个患者怎么治疗 阅读全文>