阅读全文>
患者,男,66岁,高血压病史30余年,常规口服药物治疗,2014年1月26日早晨散步期间突然头晕跌倒,子女在邻居的帮助下将病人抬回了家,给我打了手机,我到了病人家,测血压正常,手脚活动自如。问病人情况,病 ... 阅读全文>
右肺结节,CT描述为磨玻璃样改变。 患者,35岁,男性,因为左侧胸部疼痛就诊,然后检查,胸片未见异常,继而胸部CT,发现右肺有磨玻璃样改变,大家请注意,患者为左侧胸部疼痛,而且是活动受限,因患者非本人 ... 阅读全文>
椎间盘突出症是一种多发病,要确诊自己是否患有腰椎间盘突出症,最好的方法是去医院拍一张腰部CT片或者MRI(磁共振片子)。不过一般医生都没有充裕的时间把片子报告详细解释给你听,患者常常只能拿着“语言简练”的C ... 阅读全文>
男,23岁 现病史:咳嗽1周?对烟尘越来越敏感。 既往史:电焊工4年,防护效果不理想,吸入大量烟尘;曾吸烟,因对烟尘敏感,感觉难受而戒烟。 影像表现: 双肺多发斑片影,边界较清,呈铺路石征表现,分布广 ... 阅读全文>
14张奇妙的人体X光片 颠覆你的审美 阅读全文>
前几天,有一患者从工地架子上跌倒,前来就诊,经过X光拍片后确诊为桡骨克雷氏骨折,经过拔伸牵引,挤压按捺等正骨手法,成功复位,外敷祖传中药后,一月后骨痂生长,达到临床愈合!附件 阅读全文>
CR腰椎正侧位条件?新手?刚工作!请教各位!? 阅读全文>
腰椎间盘突出症是一种多发病,要确诊自己是否患有腰椎间盘突出症,最好的方法是去医院拍一张腰部CT片或者MRI(磁共振片子)。不过一般医生都没有充裕的时间把片子报告详细解释给你听,患者常常只能拿着“语言简 ... 阅读全文>
患者,王xx 女 62岁,因被电动撞倒在地,车子砸到左侧髋关节处,感觉疼痛,但可而难受,随来我院拍x光片,请各位前辈帮忙分析,左侧骶髂关节是否有骨折。 阅读全文>
日本3D医学美女解剖图,人体也可以这么美(转载分享) 阅读全文>
男,60岁,躯体活动受限。 我仅仅是上传了部分能够看清楚的X光片,大家先讨论 **** 本内容被作者隐藏 **** 阅读全文>
胡成雨,男,18岁,主诉胃部触诊硬。请各位前辈帮忙分析 阅读全文>
帮忙看看是什么类型的片 阅读全文>
患者:男,40岁,过敏体质,对多种药物以及冷空气可以过敏。 近期自以为得支气管肺炎,自行在诊所输液、服药3个月不见效,前来检查,行胸部CT。 版主所在医院因水平有限,请外院专家进行会诊。结果请看: **** 本 ... 阅读全文>
患者,男性,70岁,咳嗽、气喘一个月 阅读全文>
女,34岁,甲状腺超声检查如下 甲状腺:双侧甲状腺及峡部大小形态正常,内部回声不均匀,呈结节状、条索状改变,右侧中下极背侧探及低回声,大小约4*3mm,边界不清,垂直 生长,内部 ... 阅读全文>
各位老师,谁有医学超声视频资料,小生急需,还望大家邦忙,在此先谢了! 电子邮箱:pncsm@163.com 阅读全文>
颅脑CT片详解 阅读全文>
女,77岁,尿频,尿急,尿痛三月余。尿检:白细胞2+,潜血3+ ,血常规正常, 膀胱图片患者 谢谢各位的回复 这位患者超声我提示 膀胱癌拌尿液浑浊 在省级医院病理检查是膀胱癌 诊断依据:膀胱内强回声团内 ... 阅读全文>
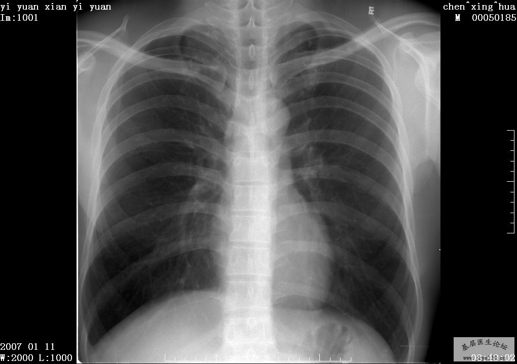
患者女,50岁,结合病史数年,进来呼吸困难进行胸部X线检查。 阅读全文>
患者:女,50~60岁,因为用的不是她本人的名字挂号。 上腹部疼痛3小时,伴恶心、呕吐。既往高血脂,不除外胰腺炎可能。 问诊:8月1日上午下午各一次,晚7~8点在正规饭店进食油腻食物,半小时后恶心欲吐,晚10点 ... 阅读全文>
患者男60岁,跌倒头部着地。当然,报告不是我写的,是别的医生写的。我先拿出来给大家分享一下。 阅读全文>
l A(Airway)气道在胸上部,看它是否居中,脊柱是否直线经过,气管有无移位,有无纤维组织牵拉使肺容积缩牵、过度充气及压迫。有无支气管气管巨大症,肺叶开口压迫、狭窄、隆突受压等支气管肺癌征象。 l B(Bone ... 阅读全文>
根据新医改规划,为解决医疗机构区域患者分流的问题,我国基层医院将成为国民医疗的中坚力量,成为更多的普通患者看病首选之地,到2020年,县级医院将达到二甲的水平,也就是现在地市级医院的水平。这对医院 ... 阅读全文>
患者的病史我实在是提取不出来了,毕竟工作站提取图像不是那么好弄的。 只好借助外站的幻灯片制作功能…… 60多幅图像,我可不想把图像直接上传,帖子拉得太长也不美观,而且赞这论坛服务器也是压力过大…… 想 ... 阅读全文>
病人自诉有关节疼痛,关节内注射曲安奈德注射液和B12针后仍有疼痛,前俩天去中医院拍的片子,大家看看啊! 阅读全文>
请问哪位同仁有中西医结合内科学教学视频?先谢了。 阅读全文>