• 40岁男性 主诉右侧胸痛伴发热两天来诊 agree

  • 李达医生 2014-9-21
  • 现病史:患者两天前挖边沟后胸痛,胸痛为锐痛,深呼吸或改变体位后加剧,伴随发热,体温最高达到39摄氏度。自己以为劳累,口服扑热息痛,无缓解,来我处就诊。既往史:以前身体健康,没特殊病史。查体:视胸阔对称, ...  阅读全文>

  • 求助:男性33岁,反复发作性喘息2年 agree  ...2

  • LIUJUAN 2013-11-24
  • 患者男,33岁于2年前无明显诱因突发胸闷,气喘、呼气费力,伴剧烈咳嗽,咯白色泡沫样痰,未经特殊治疗好转。此后患者发作性气喘频繁发生,症状加重,每次发作均大汗淋漓无明显季节性,伴咳嗽咳痰。吃刺激性食物和闻 ...  阅读全文>

  • 一个难缠的喘息性支气管炎 attach_img  ...2

  • 天法道自然 2013-1-13
  • 患者,男,56岁,喘息10余天,10天前突然喘息,呼吸困难。在家的卫生室输液治疗(1.头孢哌酮钠舒巴坦3g,2.阿米卡星0.4,喘定0.5, 3.丹参注射液20ml)3天没有缓解,后来我们服务站诊疗,T36.4 P78 R 22 BP130 ...  阅读全文>

  • 发个哮喘鉴别帖子 新人帖

  • 李达医生 2014-9-17
  • 今年,2月分,一天晚上,一个60岁老头突发喘息,病人不断喘,呼吸困难,表情痛苦,平时有支气管哮喘病史。查体 满肺哮明音,心率120 无明显杂音。同时做心电图 心跳120 无异常 考虑重症哮喘 盐水10 ...  阅读全文>

  • 对COPD采用组合疗法与较好的转归有关

  • 776503978 2014-9-18
  • 对COPD采用组合疗法与较好的转归有关 据9月17日发表在《美国医学会杂志》上的一则研究披露,在罹患慢性阻塞性肺病(COPD)——尤其是那些有哮喘者——的较为年长的人中,新开的长效β-受体激动剂(LABAs)与吸 ...  阅读全文>

  • 儿科重症哮喘的评估与诊疗

  • 776503978 2014-9-5
  • 儿科重症哮喘的评估与诊疗 在哮喘患者中,约10%会出现重度、危重哮喘发作,病死率高,是儿科急症中最常见的疾病之一。对于重度、危重哮喘的描述,各文献报告不一,可能与其表型多样有关,可被描述为致死性哮喘 ...  阅读全文>

  • 从咳嗽机制看慢性咳嗽诊治新策略

  • 776503978 2014-9-11
  • 从咳嗽机制看慢性咳嗽诊治新策略 7月18日,“美励中国荣耀世界”中日英国际咳嗽高峰论坛在广州隆重举行,来自世界各地的专家针对本次大会的热点话题——空气污染与慢性咳嗽、感染后咳嗽(PIC)的机制与诊治进展 ...  阅读全文>

  • 咽、喉炎治疗体会 agree  ...23

  • 阿特巴拉的医生 2013-2-27
  • 咽喉炎在临床中是比较常见的疾病,咽喉炎多由细菌、病毒或理化因素引起的一种疾病,可分为急性咽喉炎和慢性咽喉炎两种,临床中以慢性咽喉炎多见。 急性咽喉炎主要由病毒引起,其次为细菌所致,主要症状病初咽 ...  阅读全文>

  • 克拉霉素可增加女性心源性死亡风险 agree

  • 776503978 2014-8-24
  • 克拉霉素可增加女性心源性死亡风险 根据一项大型丹麦队列研究的结果,与青霉素相比,克拉霉素与心源性死亡风险显著增高相关,尤其是对于女性患者。该研究还发现罗红霉素不会导致心源性死亡风险增高。 丹麦 ...  阅读全文>

  • 咳嗽 新人帖 agree

  • 身体健康 2014-8-6
  • 患者45岁,咳嗽三天,呼吸急促,发热,全身酸痛,体查:听诊右肺有哮鸣音,考虑肺炎,用药0.2左氧,利巴利林,头孢噻肟,第二天明显好转,继续用药两天,第四天受寒后,出气促,流涕,咽喉痛,扁桃体发炎,头孢改用 ...  阅读全文>

  • 男性,40岁,发热咳嗽,体温39-40度

  • 776503978 2014-9-2
  • 男性,40岁,半个月前开始畏寒,发热咳嗽,咳少量浓痰体温39-40度,近四天突然咳大量浓臭痰,每日约300mI,并有痰中带血,体检右下肺扣浊痛,可以闻及支气管呼吸音,血白细胞20乘10/L,中性粒细胞百分之90,。发病以来 ...  阅读全文>

  • 腹部肥胖,运动少:当心COPD!

  • 776503978 2014-9-1
  • 腹部肥胖,运动少:当心COPD! 德国和美国的一项研究显示,肥胖,特别是腹部肥胖,与慢性阻塞性肺疾病(COPD)发病风险增加有关;而增加臀围和加强运动,或可以降低COPD的发病率。(文献阅读:Behrens G, et a ...  阅读全文>

  • 克林霉素合并细辛脑治疗慢支 agree

  • C_r` 2014-7-31
  • 患者,男,54岁,以咳嗽吐痰三月余,加重一周,患者三月前在外地无明显原因出现咳嗽,吐痰,在当地予以治疗后缓解,近几年来也是有咳嗽发生,曾予以阿莫西林克拉维酸钾注射液,氨溴索注射液治疗过,用药减轻,但容 ...  阅读全文>

  • 何为止嗽针?

  • hzwenyu 2012-3-21
  • 有一朋友因咳嗽来我所就诊两天效果不大,去了另外一间生意不错的诊所就诊一天咳嗽就好了一大半,来我处说在那里打了一针止嗽针,当晚就不咳了。 干了这么久,还没有听说还有止嗽针这样的一个药。各位同仁有谁可以告 ...  阅读全文>

  • 皮试液的感想 agree

  • 傧马佣 2014-8-25
  • 对于头孢类的皮试液都很头疼。一般都没能按照标准要求来配置。所以在浓度上差异也很大。我就想能不能把皮试液制作成软膏状,方便快捷统一安全。  阅读全文>

  • 什么牌子的制氧机好呢

  • liulangdedao 2014-8-23
  • 儿子老是闹喘息性支气管炎,考虑也有过敏的因素,天气一变或者吃了凉的辣的的食物,接着就开始喘了,以前总是雾化加口服药物,孩子几天也就没事了,可是孩子越大生病的时候,对于痛苦说的越清楚,我就越心疼,喘起来 ...  阅读全文>

  • 哮喘 -COPD 重叠综合征

  • 776503978 2014-8-24
  • 哮喘 -COPD 重叠综合征 哮喘和慢性阻塞性肺疾病(COPD)都是在普通人群中发病率很高的慢性疾病,且都以不同程度的慢性气道炎症和气道阻塞为特点。尽管以上两种疾病的慢性炎症,都可影响患者从中央到外周的整个 ...  阅读全文>

  • 血糖仪显示E--b是什么意思

  • 豪爽哥 2014-8-6
  • 今天又从新买来血糖试片,在调于血糖试片对应吗的时候 血糖仪显示E--b。 当初买机子的时候 说明书书掉了,也不知是什么意思老调不好。望大家有知道给予明示  阅读全文>

  • 输液后血压骤升病例 agree

  • wyd 2014-8-6
  • 患者王xx,女,69岁,因咳嗽月余加重2天来诊。患者一个月来经常咳嗽,无痰,无憋喘,不发热,曾口服罗红霉素,甘草口服液,二羟丙茶碱片治疗,有所好转。但没坚持治疗。近2天来咳嗽加重,伴有轻度憋喘,咳少量黄 ...  阅读全文>

  • 呼吸系统常用药品四代头孢的区别汇总 agree

  • 776503978 2014-8-20
  • (1)第一代头孢菌素 常用药头孢氨苄、头孢拉定、头孢羟氨苄、头孢唑啉等。 作用对革兰氏阳性细菌感染,包括耐药金黄色葡萄球菌(简称金葡菌)及耐青霉素的淋病奈瑟菌有抗菌作用。口服头孢氨苄、头孢羟氨苄、 ...  阅读全文>

  • 移位气道异物,如何处理? agree

  • 776503978 2014-8-20
  • 移位气道异物,如何处理? 作者:(海南省人民医院麻醉科 胡艳) 患儿,男,7岁,20 kg,因不慎误吸椭圆形磁铁球玩具出现反复呛咳,反复咳嗽、气喘2 d,胸部X线片:右侧支气管口处可见高密度影异物,右下肺渗 ...  阅读全文>

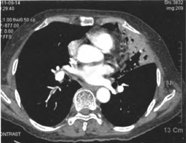
  • 肺结核合并肺栓塞1例 attach_img agree

  • 776503978 2014-8-20
  • 肺结核合并肺栓塞1例 临床资料: 患者,女,66岁,因“发热、咳嗽、咳痰半月,加重伴呼吸困难7d”于2011年8月27日入院。患者半月前受凉后出现阵发性咳嗽,咳黄白黏痰,无脓臭味,伴发热,最高体温39℃,无 ...  阅读全文>

  • 以哮喘为表现的胃食管反流病 attach_img agree

  • 飘摇的风 2014-8-16
  • 作者:上海交通大学医学院附属仁济医院 陈胜良 病例资料: 患者自诉出现哮喘症状已有3年余,抗生素、茶碱及β2受体激动剂平喘药治疗无效,季节性发病, 饱食后或卧位易发。2d前因天气变化再次出现气急、胸 ...  阅读全文>